
Global TB Deaths are Rising — is COVID to Blame?
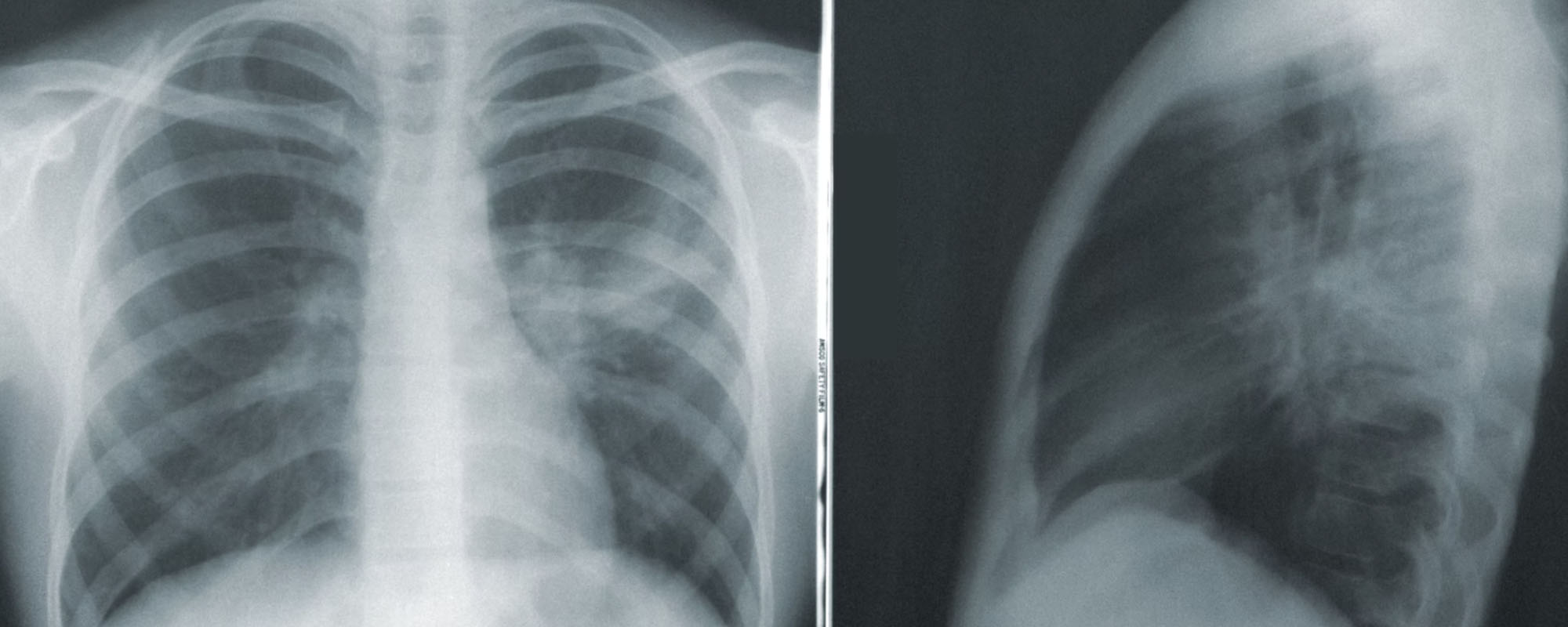
For the first time in more than a decade, the death toll from tuberculosis (TB) is rising. TB killed roughly 1.5 million people in the first year of the COVID-19 pandemic, up from 1.4 million in 2019. And researchers say COVID is to blame. COVID lockdowns, limited access to health care and patients' concerns about visiting medical clinics made TB far more deadly during the pandemic. TB patients in South Africa who were already on treatment when the pandemic hit fared well. The problem was the patients with TB who hadn't yet shown symptoms and hadn't yet sought care when the first COVID lockdown hit in March of 2020.

